اتحادیه اروپا کشته شدن مهسا امینی را غیرقابل قبول دانست و خواستار پاسخگو کردن عاملان آن شد



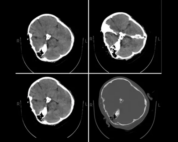
خبرگزاری فارس وابسته به سپاه پاسداران اصالت تصاویر افشا شده از سیتیاسکن مهسا امینی در ایران اینترنشنال را تایید کرد و نوشت که پیگیریهای خبرنگارش از «مراجع ذیربط» نشان میدهد این عکسها مربوط به اوست.

شهرام ناظری خواننده مشهور ایرانی در سوگ کشته شدن مهسا امینی قطعه کوتاهی را با نام «آی ئازیزم» به زبان کردی در صفحه اینستاگرام خود منتشر کرد و نوشت: «ژینا گیان، آواز زندگی بودی، صدای تو باید بلند خوانده شود، صدای تو اکنون در صدای ماست»

سه روز پس از قتل بهتآور مهسا امینی، صدها هزار نفر از ایرانیان از جمله زنان بدون حجاب در شهرهای بزرگ و کوچک از جمله تهران اعتصاب یا تظاهرات کردند و علیه جمهوری اسلامی و شخص علی خامنهای شعار دادند. این اعتراضها گستردهترین اعتراضات سراسری علیه حکومت پس از دیماه ۱۳۹۸ است.
اعتراضات گسترده در تهران؛ از دانشگاهها تا خیابانها
اعتراضات تهران از صبح دوشنبه با اعتراضات دانشجویی آغاز شد و بعد از ظهر روز دوشنبه به تجمع و تظاهرات معترضان در خیابانها کشیده شد.

عصر دوشنبه هزاران معترض در خیابان حجاب در مرکز تهران تجمع کردند و سپس تجمعات به دیگر نقاط شهر به ویژه بلوار کشاورز، میدان ولیعصر و فلکه صادقیه هم کشیده شد.
«مرگ بر دیکتاتور»، «مرگ بر خامنهای»، «رضا شاه روحت شاد»، «زن، زندگی، آزادی»، «از کردستان تا تهران، ستم علیه زنان»، «اتحاد اتحاد»، «جمهوری اسلامی نمیخوایم، نمیخوایم»، «حجاب زور زورکی نمیخوایم، نمیخوایم»، «مرگ بر اصل ولایت فقیه» از شعارهای معترضان در تهران است.
همچنین معترضان در خیابان حجاب تهران خطاب به علی خامنهای شعار «این آخرین پیامه» سردادند.
معرضتان شیشه چند خودروی یگان ویژه در میدان ولیعصر تهران را شکستند.
بر اساس تصاویر منتشر شده تعدادی از معترضان در تهران بر اثر اصابت گلولههای ساچمهای مجروح شدند.
بر اساس گزارشها مهناز محمدی، کارگردان و مستندساز، از جمله افرادی است که در تجمع معترضان در تهران بازداشت شده است.
در روز دوشنبه ، دانشجویان دانشگاه شهید بهشتی، تربیت مدرس، دانشگاه هنر، صنعتی شریف، علامه طباطبایی، امیرکبیر، در اعتراض به قتل مهسا امینی تجمع کرده و شعارهای «مرگ بر دیکتاتور» و «توپ، تانک فشفشه، آخوند باید گم بشه» ، «کردستان کردستان، گورستان فاشیستان»، «زن، زندگی آزادی»، «پوشش اختیاری» و «زن، زندگی آزادی» سر دادند.
همچنین دانشجویان پلاکاردهایی به زبانهای فارسی و کردی در دست داشتند که از جمله آنها «نمیخواهم بمیرم» و «خونت پایمال نخواهد شد» بود.
در دانشگاه امیرکبیر تعدادی از نیروهای بسیجی با حمله به دانشجویان قصد پایان دادن به تجمع را داشتند اما موفق نشدند.
اعتراضات در رشت، مشهد و اصفهان
اعتراضات خیابانی در ایران، علاوه بر تهران به دیگر شهرهای بزرگ نیز سرایت کرده و در استان گیلان، معترضان در فلکه مادر در رشت تجمع کردند.
اعتراضات در رشت ادامه دارد و معترضان شعارهای «مرگ بر خامنهای» و «ننگ ما ننگ ما، پلیس الدنگ ما» و «تا آخوند کفن نشود، این وطن وطن نشود» سر دادند.
بر اساس ویدیوهای منتشر شده در شبکههای اجتماعی، گروهی از مردم مشهد تجمع کرده و شعارهایی از جمله «ما همه مهسا هستیم، بجنگ تا بجنگیم» و «توپ تانک فشفشه، آخوند باید گم بشه» سر دادند.
در اصفهان نیز اعتراضات مثل تهران با اعتراضات دانشجویی در دانشگاه اصفهان آغاز شد. همچنین زنان معترض در اصفهان با در آوردن روسریهای خود به تجمع پیوستند.
اعتصاب گسترده و اعتراضات مرگبار در استانهای کردنشین
اما روز دوشنبه، اعتراضات با اعتصاب بازاریان در مناطق کردنشین و حتی آذربایجان آغاز شد و کسبه و مغازهداران روز دوشنبه در شهرهای سنندج، نقده، کرمانشاه، کامیاران، پاوه اعتصاب کردند.
اعتراضات در همان صبح دوشنبه به ویژه در شهرهای دیواندره و سقر به خشونت کشیده شد و دهها نفر کشته و زخمی شدند.
یک منبع مطلع به ایران اینترنشنال گفت چهار معترض در دیواندره بر اثر اصابت گلوله جنگی ماموران امنیتی کشته شدند.
همچنین سازمان حقوق بشری ههنگاو خبر داد که یک دختر ۱۰ ساله در بوکان بر اثر تیراندازی ماموران به شدت مجروح شده است. ویدیویی نیز منتشر شده که در آن یکی از شهروندان این کودک را بر روی دست گرفته است.
این اعتراضات خیابانی تا شامگاه دوشنبه در شهرهای چون پاوه و بانه ادامه داشت و ماموران امنیتی در شهرهای مختلف از جمله کامیاران، تکاب و دهگلان به سمت معترضان گاز اشکآور و گلوله شلیک میکنند.
مردم شهر سنندج نیز برای سومین روز پیاپی تجمع کردند. گزارشها از برخورد نیروهای امنیتی با معترضان حکایت دارد و همچنین صدای تیراندازی شنیده شده است.
اطلاعات رسیده از مهاباد حاکی است در چهارراە آزادی چهار نوجوان با گلولە ساچمەای زخمی شدەاند و برخی از تاکسیرانها بەجای انتقال زخمیها بە مراکز بهداشتی آنها را بە مراکز امنیتی میبرند.
شامگاه دوشنبه نیروهای امنیتی در قروه کردستان به مردم گاز اشکآور شلیک کردند.
همچنین مرکز همکاری احزاب کردستان ایران خواستار مجازات آمران و عاملان قتل مهسا (ژینا) امینی، برچیده شدن گشتهای ارشاد و لغو حجاب اجباری، آزادی بازداشت شدگان اعتراضات اخیر و پایان دادن به فضای امنیتی موجود در شهرها شد.
تجمع معترضان در خارج از کشور
همچنین ایرانیان مخالف جمهوری اسلامی و فعالان مستقل سیاسی در چند کشور علیه جمهوری اسلامی و سیاستهای ضدزن این حکومت با برگزاری تجمع اعتراض کردند.
از جمله در پاریس، معترضان روز دوشنبه در اعتراض به قتل حکومتی مهسا امینی در برابر ساختمان سفارت ایران تجمع کردند.

در حالی که اکثر شهرهای کردنشین ایران صحنه اعتراضات و اعتصاب هستند، تجمع و تظاهرات معترضان به قتل مهسا امینی به تهران، اصفهان و رشت کشیده شده و نیروهای امنیتی برای متفرق کردن معترضان به پرتاب گاز اشکآور متوسل شدهاند. همچنین زنان معترض روسریهای خود برداشتند.
اعتراضات تهران بعد از ظهر روز دوشنبه با تجمع معترضان در خیابان حجاب این شهر آغاز شد.
بر اساس گزارشها، ماموران امنیتی تعدادی از تجمعکنندگان در خیابان حجاب تهران را بازداشت کردند. نیروهای امنیتی در این خیابان و اطراف آن آمبولانس مستقر کردهاند و بازداشتشدگان را به آمبولانس منتقل میکنند.
همچنین معترضان در تهران با وجود حضور گسترده نیروهای امنیتی، مقاومت میکنند و به تجمع ادامه میدهند، این در حالی است که ماموران امنیتی به سمت معترضان در بلوار کشاورز گاز اشکآور پرتاب کردند.

تجمع معترضان در تهران به میدان ولیعصر هم کشیده شده است.
«مرگ بر دیکتاتور»، «مرگ بر خامنهای»، «رضا شاه روحت شاد»، «زن، زندگی، آزادی»، «از کردستان تا تهران، ستم علیه زنان» و «اتحاد اتحاد» از شعارهای معترضان در تهران است.
همچنین معترضان در خیابان حجاب تهران خطاب به علی خامنهای شعار «این آخرین پیامه» سردادند.
پیشتر دانشجویان تعدادی از دانشگاههای مهم و اصلی تهران در اعتراض به قتل مهسا امینی در دانشگاههای خود تجمع کردند.
اعتراضات خیابانی در ایران، علاوه بر تهران و شهرهای کردستان، به دیگر شهرها نیز سرایت کرده و معترضان در فلکه مادر در رشت تجمع کردند.
یک منبع مطلع به ایران اینترنشنال گفت چهار معترض در دیواندره بر اثر اصابت گلوله جنگی ماموران امنیتی کشته شدند.
یک منبع مطلع به ایران اینترنشنال خبر داد که چهار معترض در دیواندره بر اثر اصابت گلوله جنگی ماموران امنیتی کشته شدند. این چهارنفر به بیمارستانی در سنندج منتقل شده بودند که یک نفرشان در مسیر و سه نفر دیگر در بیمارستان در سنندج جانباختهاند